Eye Tests
Independent family practice established for over 40 years. Optometrist Derek Doris and his team boast more than 30 years of experience. The practice was one of the founding members of the LENS scheme for eye care emergencies in Lanarkshire. We provide eye tests and general eye care that is affordable and of the highest standard.
Free quotes and initial consultations are available
Why have eye tests?
For clear vision and healthy eyes, regular eye tests are essential. Not only can we assist in maintaining healthy eyes, we can also check your general health. Your eyes really are a window to your overall health, and we’ll be able to detect a number of medical conditions.
How it works
Our eye tests are really easy to arrange. Simply get in touch or pay us a visit and we’ll be happy to book you in. We offer a massive range of eye examination types, that are designed to search for specific problems or suit any conditions we are already aware of.
Tailored to your needs
Our eye examinations are tailored to your exact requirements, and we’ll help you with any post-exam services. This includes help with contact lenses and even choosing from a great range of glasses frames.

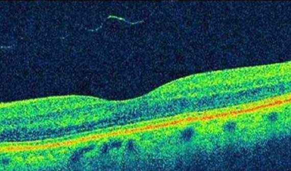
Ocular Coherence Tomography (OCT)
OCT assesses the internal health and condition of the eyes, allowing us to see the earliest and subtlest signs of eye disease that may otherwise be missed by the more traditional methods of examination. It will also detect changes in your vision many years before you notice yourself. The OCT scan is completely non-invasive and painless. Nothing touches your eye at all.
With certain eye conditions the faster you act, the more you protect. We strongly recommend OCT as part of your regular eye examination. This is also why an eye exam at Yuills is longer than the industry average.
In the vast majority of places, you will get 15-20 minutes eye test. It a rushed affair, you get minimal time with the optometrist and lots of the tests are done by unqualified staff before you see the optometrist.
At Yuills of Lanark we committed to providing the very best clinical care possible and have invested in this state-of-the-art diagnostic equipment.

